腹腔能查出来什么肿瘤
在人体的复杂结构之中,腹腔宛如一颗蕴藏生命之息的星辰,它孕育着众多脏器,也因此可能会孕育出各式各样的肿瘤。这些肿瘤主要分为两大类别:实质性脏器肿瘤与空腔脏器肿瘤。下面,让我们一起揭开这些腹腔肿瘤的神秘面纱,深入了解它们的种类与相关信息。

一、腹腔肿瘤的常见类型
在腹腔的众多脏器中,肿瘤的诞生是不可避免的。对于实质性脏器,如肝脏、胰腺、肾脏等,可能产生的肿瘤包括肝癌、肝血管瘤、肾癌等。而对于卵巢、子宫等女性特有的脏器,也可能产生卵巢囊腺瘤、卵巢畸胎瘤等。空腔脏器如胃肠道、腹膜、网膜等,也可能产生胃癌、肠癌、胃肠道间质瘤等。
二、肿瘤的表现
腹腔肿瘤的早期可能并不明显,但随着其逐渐长大,一些明显的症状开始显现。局部肿块是其中的一种表现,如肝癌患者可能触及肝肿大。腹痛或腹胀也是常见的症状,恶性肿瘤还可能引发全身症状,如消瘦、乏力等。到了晚期,甚至可能出现转移灶症状。
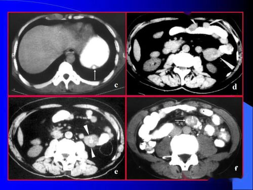
三、诊断的手段
对于腹腔肿瘤的诊断,影像学检查是一种重要的手段。彩超适用于筛查肝、胆、胰、肾等实质性脏器肿瘤。而CT/MRI的高分辨率可以发现深部或小肿瘤,增强CT对于判断肿瘤分期和浸润范围尤为重要。PET-CT则用于原发灶不明或转移灶的排查。针对不同类型的肿瘤,也有特定的肿瘤标志物检测,如胃肠道肿瘤的CEA、CA199、CA724等。
四、需要注意的事项
在腹腔肿瘤的防治中,早期筛查至关重要。部分肿瘤如脂肪肉瘤生长迅速且预后较差,因此定期体检(如腹部CT)有助于早期发现。肿瘤标志物的升高并不一定代表癌症,需要结合临床症状和其他检查进行综合判断。
腹腔肿瘤虽然可怕,但只要我们保持警惕,定期进行体检,做到早发现、早治疗,很多悲剧都可以避免。如果你或你的亲人有腹部不适或相关症状,请立即咨询专科医生,结合具体症状获得更详细的信息和治疗建议。让我们携手,共同守护腹部的健康,迎接美好的每一天!